【All-on-4症例紹介】ボロボロの歯から1日で
見た目と噛み合わせを回復
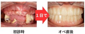
治療前の状態
「前歯がグラグラして、噛むのがつらい」とご相談に来られた50代の女性。
お口の中を確認すると、歯ぐきの病気(歯周病)がかなり進んでいて、歯が大きく動き、場所もずれてしまっている状態でした。
残念ながら、ご自身の歯を残すことは難しく、今後の治療をどうするか、一緒にしっかり話し合いました。

治療の選択:入れ歯ではなく“しっかり噛める固定の歯”へ
歯をすべて失った場合、治療の選択肢は大きく分けて「入れ歯」か「インプラント(人工の歯根)」の2つあります。
患者様は「入れ歯は外れるのが不安」「できるだけ早く噛めるようになりたい」とのご希望でしたが、従来のインプラント治療では、年単位の期間を要していました。
そこで、患者様のご希望を実現するためにご提案したのが、All-on-4(オールオン4)という治療方法です。
この方法では、4本のインプラントで上または下の歯をすべて支える仕組みになっており、手術したその日に仮の固定式の歯を入れることができるのが特徴です。
入れ歯のように取り外す必要がなく、見た目も自然で、食事や会話もこれまでに近い感覚で行えるようになります。


治療の流れ
治療前にCTなどでお口の中を詳しく調べ、安全にインプラントを埋められる場所や角度をしっかりと確認しました。
手術当日は、残っていた歯を抜いたあと、今回は5本のインプラントを埋め込み、その日のうちに固定式の仮歯を装着。
手術直後から「噛める」状態になり、患者様はその変化にとても驚かれていました。

治療結果と患者様の声
術後は少し腫れが出ましたが、痛みはほとんどなく、「本当に痛くなくてびっくりしました。
先生やスタッフの皆さんがいつも気にかけてくださって、この治療を選んで本当によかったです」と笑顔で話してくださいました。
見た目も自然で、「人前で思いきり笑えるようになった」とのお言葉も。
私たちスタッフも、その笑顔に嬉しい気持ちでいっぱいになりました。

治療費
| 項目 | 費用 |
|---|---|
| All-on-4治療(上顎・5本埋入の場合 | 330万円(税込) |
※従来のインプラントの場合、7〜8本埋入で600万円程がかかっていました。
治療にあたっての注意点
- • インプラントが骨になじまない場合、再治療が必要になることがあります。
- • 手術後に腫れや痛み、出血などが出ることがあります。
- • 健康状態や骨の状態によって、治療の進み方が変わる場合があります。
治療を担当したのは、副院長・政久 侃祐 先生

インプラント治療やAll-on-4、ザイゴマインプラントなど、難しい症例にも幅広く対応。
All-on-4開発者が提案した『本物のAll-on-4』治療にこだわり、オペを行っています。
また、3Dナビゲーションシステム「X-Guide」を使い、より正確で安全な手術を行っています。患者様に安心して治療を受けていただけるよう、分かりやすい説明と丁寧なカウンセリングを心がけています。
最後に
「歯がボロボロでも、もう一度しっかり噛めるようになりたい」
「入れ歯ではなく、自分の歯のように過ごしたい」
そんな想いを持つ方にとって、All-on-4は大きな希望となる治療法だと考えています。
治療の流れや費用についても、わかりやすくご説明いたしますので、まずはお気軽に無料相談へお越しください。


