
政久歯科醫院インプラント担当医副院長:政久 侃祐
「難症例も対応できます!」
当院では、患者様から相談された内容やご希望に対して、
できないと簡単にお伝えすることはしたくないと考えています。
『どうすればできるか』『他に選択肢はないか』を常に考え、
そのために日々研鑽を続けています。
どのようなお悩みであっても、
患者様にとって最善の解決策を見つけるため、
誠心誠意向き合うことをお約束します。
当院では、対応できない症例はありません。
ザイゴマインプラントハンズオンコースと、ブラジルでの研修を経て得られるブラジルザイゴマインプラントマスターコースを習得し、認定を受けている医院です。
また、当院はインプラントのメーカー「ノーベルバイオケア社」が認定した医院でもあり、ノーベルバイオケア社主催のインプラント講習に講師として講演を行なっております。
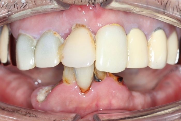
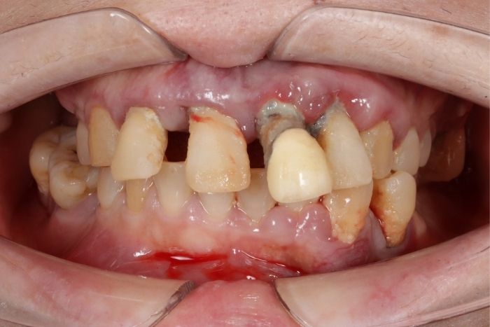
他院でインプラント治療を断られてしまったという難症例の方でも、当院では治療を受けることが可能です。お気軽にご相談ください。
当院ではインプラント治療をドクター4人体制で行います。麻酔〜執刀、治療のサポートまで、インプラント専門チームが対応しますので安心して治療を受けられる体制を整えています。
インプラントメーカーである「ノーベルバイオケア」から認定を受け、インプラント治療における検査診断から外科、補綴に至るまで、最新のトピックとソリューションについて講習を行っています。
― 治療の成功を支える、“信頼できる素材”という選択 ―
インプラント治療は、一度きりの大切な選択です。
だからこそ政久歯科醫院では、世界的に評価の高いインプラントメーカーのみを採用し、患者様の将来を見据えた治療をご提供しています。
当院が導入しているのは、スウェーデン発「ノーベルバイオケア」と、スイス発「ストローマン」。
ともに世界中の歯科医師が選び続ける、臨床実績・技術力・安全性においてトップクラスのブランドです。

Nobel Biocare(ノーベルバイオケア)
インプラントの歴史を築いたパイオニア的存在。世界中のインプラント治療における研究と開発をリードするブランドであり、50年以上にわたる臨床研究が信頼の裏付けです。

Straumann(ストローマン)
骨との結合力に優れた素材・独自の表面加工技術を持ち、「治癒力に不安がある」「骨が少ない」方にも選ばれる世界的ブランドです。
インプラントメーカーにはそれぞれ特長があり、どちらが優れているというものではありません。
政久歯科醫院では、お一人おひとりの骨の状態・治癒力・ご希望をもとに、最適なメーカーを歯科医師 が判断しています。
「どれがいいか分からない…」と不安に思う必要はありません。 ご相談いただければ、医師が責任をもって最善のご提案をいたします。
「歯がグラグラで不安」「総入れ歯は避けたい」「自分にインプラントができるか心配」そんな思いを抱える方こそ、ぜひ政久歯科醫院へご相談ください。
世界基準のインプラントメーカー × 累計 4,000 症例の実績 × 高度な診断技術 あなたの人生を支える新しい「歯」を、私たちが全力でサポートいたします。
お気軽にお越しください
【月火金】9:30〜13:00/14:30〜18:00
【水】9:30〜12:00/14:30〜19:00
【土】9:00〜12:30/14:00〜17:00
※休診:木・日・祝
※保険の初診料を窓口にてご負担いただきます
「歯を失った方」や、
「入れ歯が合わない方」に向けた、
最先端のインプラント治療です。
虫歯や歯周病によって歯がボロボロになってしまった方、入れ歯が合わずに食事が楽しくないという方、そんな方にAll-on-4治療という選択肢を提供しております。
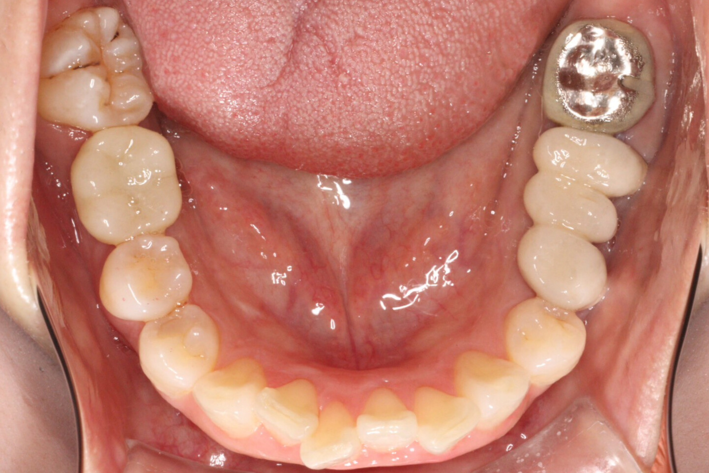
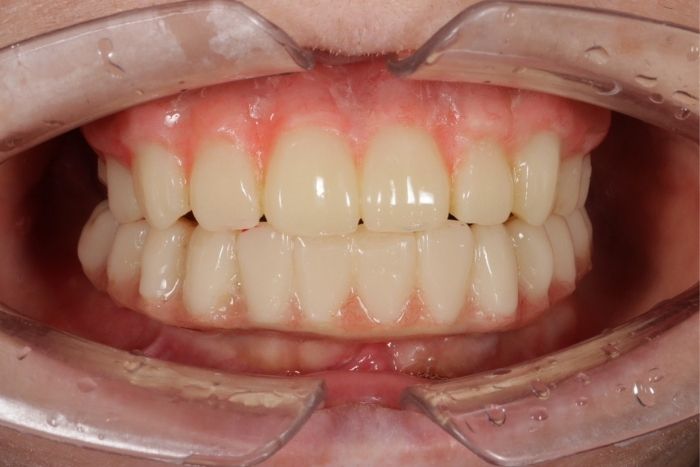
天然歯と同じ見た目・機能を備えており、今まで通りの生活を実現することが可能です。
また、1日で食事が可能になるだけではなく、通常のインプラントよりも経済的にも身体的にも負担が少ない治療です。

インプラント

All-on-4

ザイゴマインプラント
1本の歯に対して1本のインプラントを埋入
上顎または下顎に4本のインプラントですべての歯を支える。
頬骨を固定源として、インプラントを埋め込む方法です。
顎の骨が十分にある場合対応可能。 ない場合は骨造成が必要。
顎の骨が少ない場合に対応。 骨造成は不要。
上顎の骨がない、 もしくは少ない場合に対応。 骨造成は不要で、頬骨に直接埋め込む。
数ヶ月〜1年以上
状況により即日(1日)固定も可能。
状況により即日(1日)固定も可能。
本数に応じて費用が高額になりやすい。
インプラント本数が少なく 費用を抑えやすい。
特殊な治療のため 費用が高額になりやすい。
2003年
2008年
2013年
2018年
2025年

2003年開業
地域に根ざして
20年以上
インプラント実績
4,000症例以上
年間新規来院患者数
1,000人
月間来院患者数
1,500人

「難症例も対応できます!」
当院では、患者様から相談された内容やご希望に対して、
できないと簡単にお伝えすることはしたくないと考えています。
『どうすればできるか』『他に選択肢はないか』を常に考え、
そのために日々研鑽を続けています。
どのようなお悩みであっても、
患者様にとって最善の解決策を見つけるため、
誠心誠意向き合うことをお約束します。
当院では、対応できない症例はありません。








たくさんの経験で患者さまの
意志に寄り添った治療を

普通のインプラントはもちろん、ザイゴマインプラント、オールオン4などの症例も数多くあり、患者さま一人ひとりの状況にあった治療を提案いたします。
セカンドオピニオンなども受け付けておりますので、お気軽にご相談に来てくださいね。

当院のインプラント治療は、世界トップシェアを誇るインプラントメーカー ノーベルバイオケアより公式に認定されたインストラクター・スピーカーが担当します。メーカー主催のライブオペ(公開手術)や公式講演を任されるなど、治療技術・知識・再現性を第三者から評価されています。

当院はクリニックとして25年にわたりインプラント治療に取り組んできました。長年治療を行ってきたからこそ、治療技術だけでなく設備・システムの重要性も理解しています。
当院では時代に合わせて、最新の設備導入を絶え間なく行ってきました。
経験の蓄積と最新設備の融合により、現在においても間違いなく高水準なインプラント治療を提供できる体制を整えています。
岡山にある政久歯科醫院では各分野のプロフェッショナルが7名在籍しており、保険治療〜自費診療まで包括的な治療が可能です。
保険診療でどうにもならない方、事故で歯を失ってしまった方、他院で治療を断られてしまった方、セカンドオピニオン希望の方、
どんな方でもお気軽にご相談ください。
歯の治療をするにあたって、患者様の「こうしたい!」
という理想を実現させます。
インプラントをすることに不安を感じる患者様には、無理なく治療を進めるために、痛みや恐怖を最小限に抑える技術を用い、リラックスして治療を受けられる環境を提供します。
忙しい日々の中で歯科医院に通うのが難しいという患者様には、効率的に治療を進める短期集中治療や通院回数の少ない治療プランをご提供します。
インプラント治療後にすぐに食事ができるようにするため、患者様に最適な治療法を選び、最短での回復を目指します。
治療費が高額で負担が大きいという患者様には、柔軟な分割払いプランや支払い方法を提案し、安心して治療を受けられるようサポートします。
インプラント治療は、複数回の通院や長時間の手術を伴うことがあります。当院では、県外や遠方からご来院いただく患者様にも安心して治療を受けていただけるよう、宿泊費を医院が負担(院内規定に準拠)するサポート制度を行っています。
専任のカウンセラーが医院内にいますので、歯のお悩みをなんでもご相談ください。ドクターには聞きにくいことなどでもなんでも相談いただけます。
インプラント治療を安全に行うために、CTやXガイドを用いた治療を行っております。治療前の診査診断・シミュレーションを行うことで、インプラント治療の成功率を高めます。
安心してインプラントを使っていただくために、インプラント治療に10年の保証をつけています。ただし、しっかりと定期的にメンテナンスを受けていただける方に限ります。詳しくはご相談ください。
インプラント治療は外科手術を伴う治療です。身体的にも経済的にも不安になる方が多いと思いますので、当院ではインプラント無料相談を行なっております。まずはお気軽にご相談ください。
現金、クレジットカード
デンタルローンでの決済可能
当院では、現金、クレジットカード、デンタルローンで決済を行えます。
(保険治療は現金のみ、保険外治療は現金、クレジットカードが可能、金額によりデンタルローンも可能です。)
クレジットカード決済は(VISA/MasterCard/JCB/AMERICAN EXPRESS/Diners)に対応しています。

合計566,500円(税込)~
上顎2,970,000円(税込)~
下顎2,750,000円(税込)~
※デンタルローンを活用した場合
※金利3.50%で120回の分割払いを想定
Implant Consultation
治療のこと、費用のこと、期間のこと。
「どこに相談したらいいかわからない」
「インプラント治療が自分に必要か分からない」
「他院に相談したけど、骨が薄くて断られてしまった」
「別の歯科医院で治療したが、違和感が残っている」
「複数の意見を聞き、納得して治療を受けたい」
そんなお悩みにお応えするために、
無料でご相談いただける時間を設けています。
当院では治療方針や診断の進め方などしっかりとご説明し、無理に治療を勧めることはありませんので、ご安心ください。
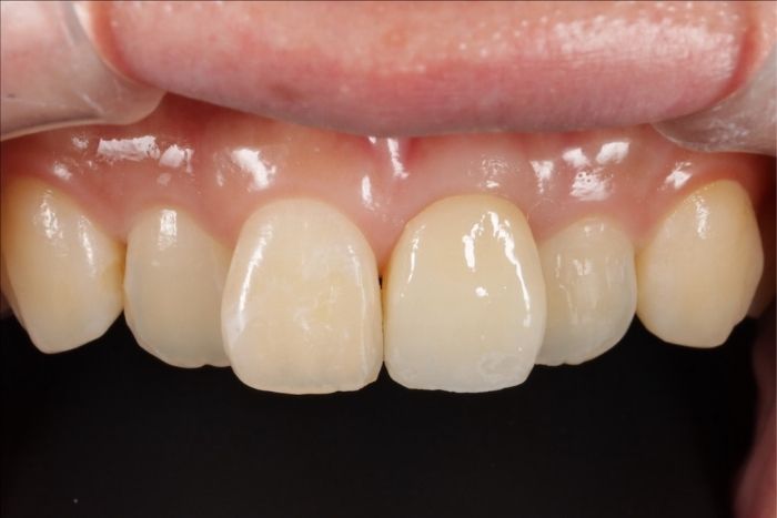
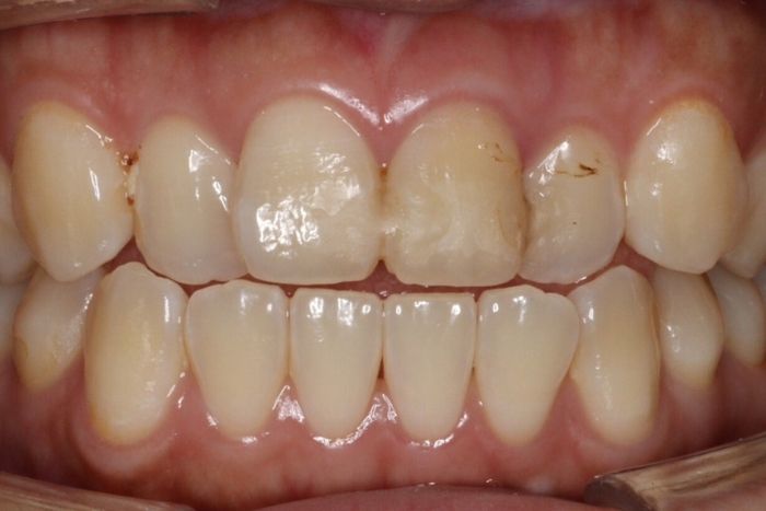
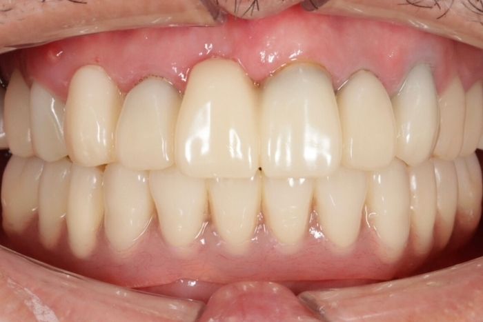
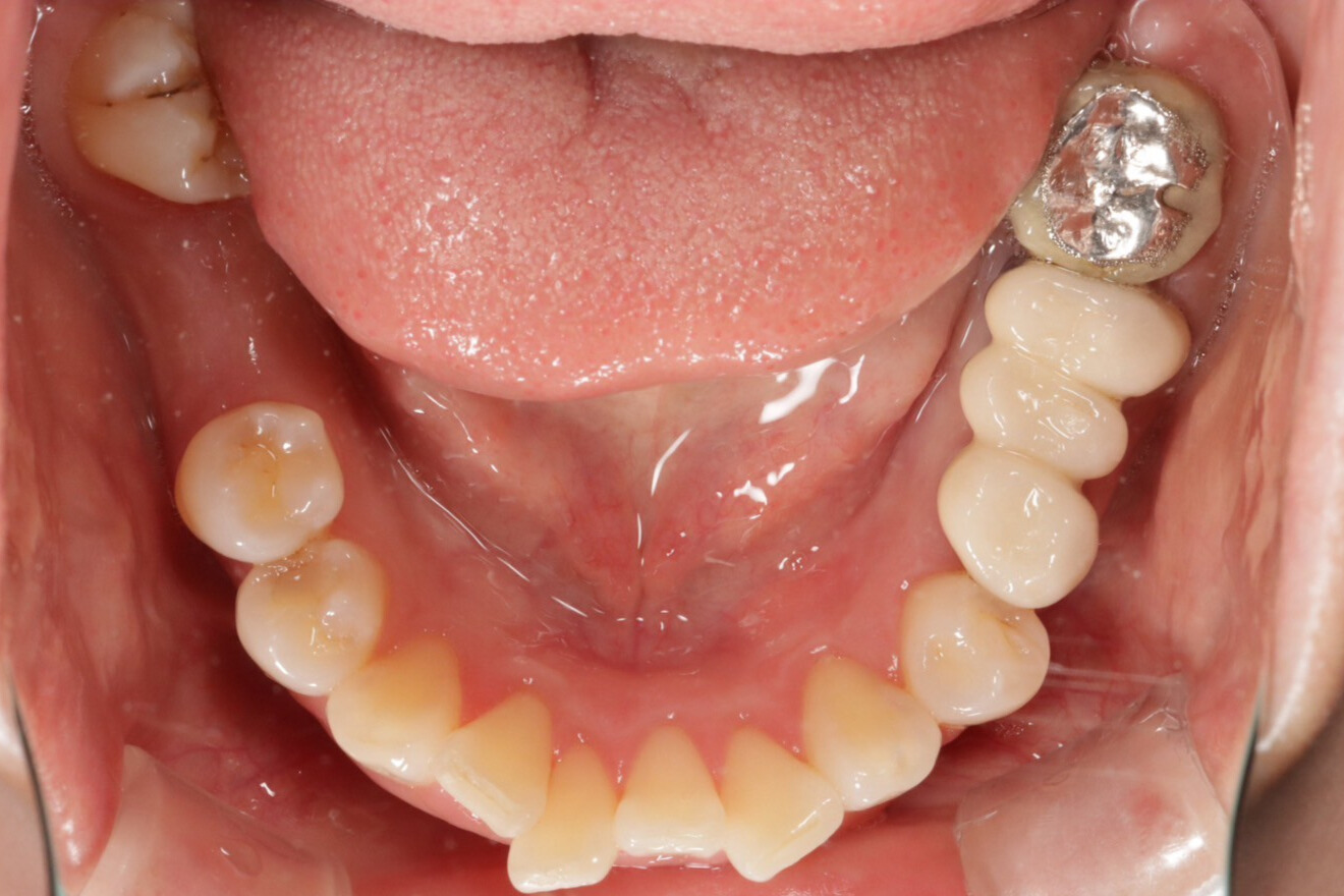
PHOTO GALLERY
COLUMN
Read More