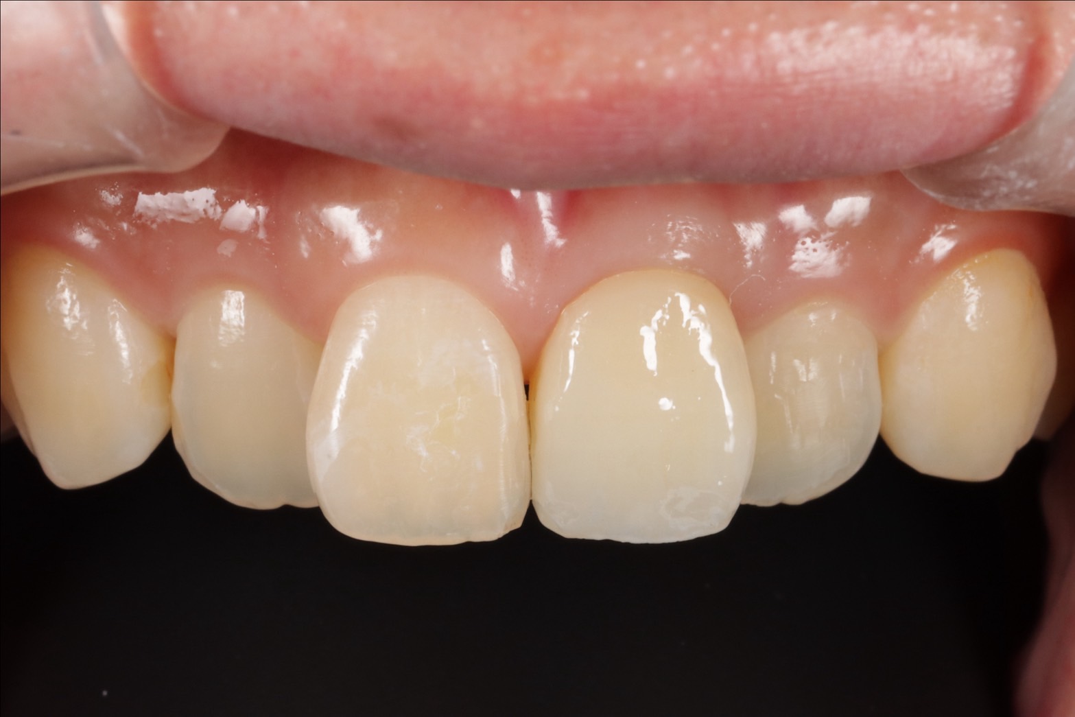
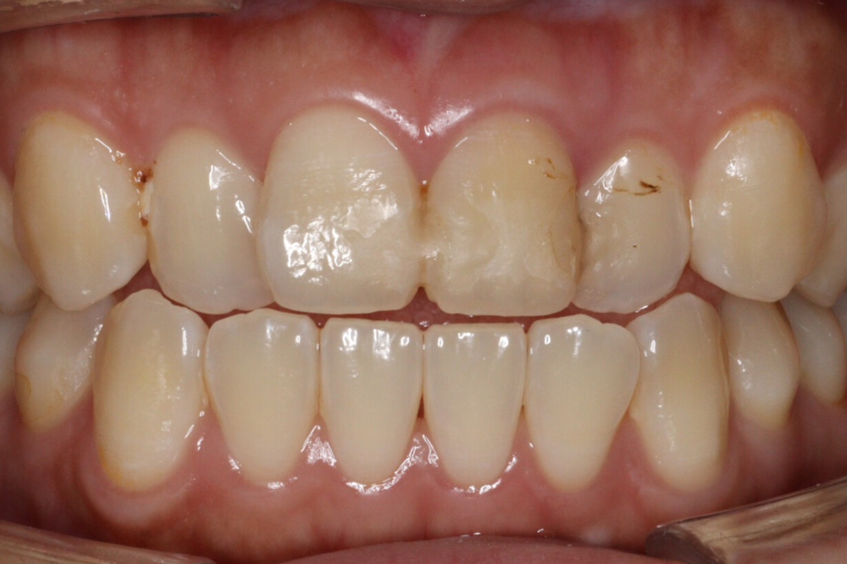
【症例】前歯のインプラント
治療前
治療後
| 費用 | 71.5万円(税込) |
|---|---|
| 治療内容 | 歯根破折(歯の根にヒビが入っている状態)のため上の前歯を抜歯する必要があり、インプラントをして見た目も美しくしたいと希望された患者様です。 抜歯した当日に即日インプラントオペを行う抜歯即時埋入を行いました。 |

