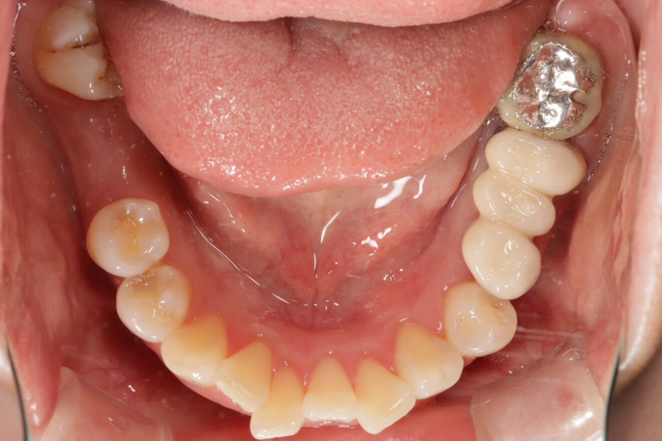
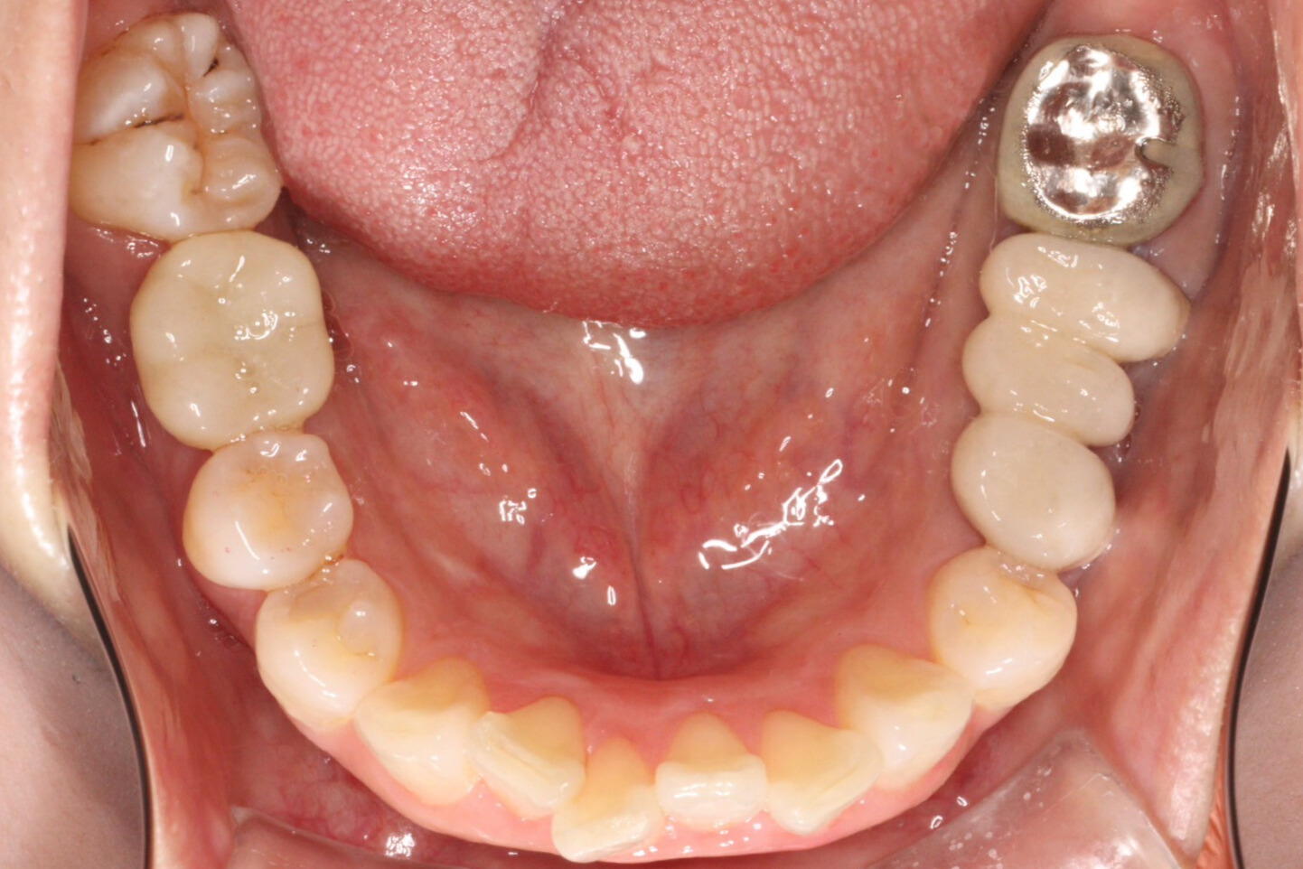
【症例】インプラント
治療前

治療後

費用 | 55万円(税込) |
---|---|
治療内容 | 右下の歯の根にヒビが入っていたため(歯根破折)抜歯を行い、抜歯後は歯ぐきの回復を待ち、インプラントを埋入しました。 オペ後2ヶ月間は経過を観察し、仮歯の期間を経て、最終的な被せ物をセットしています。 |