【症例紹介】「もう噛めないかもしれない」
歯周病で歯がボロボロだった 44 歳男性が噛める口を取り戻すまで
相談のきっかけ
「歯がボロボロで、噛むのがつらい」患者様が来院されたとき、ほとんどの歯が歯周病によって大きく揺れている状態でした。
食事のたびに不安を感じ、「このままでは、ちゃんと噛めなくなるのではないか」そんな強い不安を抱えていらっしゃいました。
患者様のご希望は、ただ一つ。「もう一度、きちんと噛める口に戻りたい」その想いから、治療がスタートしました。

歯をすべて抜く決断と、即時に噛める治療
検査の結果、残念ながら歯を残すことは難しい状態でした。長年使ってきた歯をすべて抜く決断は、簡単なものではありません。
そこで選択したのが、全顎インプラント治療(即時荷重)です。
歯周病で支えを失った歯をすべて抜歯し、その日のうちにインプラントを埋め込み、仮歯まで装着していきます。つまり、治療当日から「噛める状態」を目指す治療を行いました。
「歯がない期間」をできる限りつくらなないことで患者様の日常生活への影響を最小限に抑えることを大切にしました。

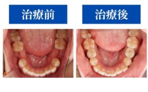
治療後の変化
最終的な被せ物が入るまでの治療期間は約 1 年。被せ物が入ったとき、患者様は「最高です。めっちゃいい!!」と笑顔で伝えてくださいました。
食事を楽しめるようになり、表情も、話し方も、自然と明るくなったのがとても印象的でした。


治療費について
・治療費用:1,000 万円(税込・自費診療)
※治療内容・状態により費用は異なります。詳しくはご相談ください。
注意点・リスク
- ・インプラントが抜けるリスクがあります
- ・定期的なメンテナンスが必要です
- ・全身状態や噛み合わせにより、適応できない場合があります
※治療前に、必ず詳しくご説明を行っています。気になる方は無料相談をご利用ください。
今回の治療を担当したのは、政久侃祐先生
今回の治療は、「噛める機能を取り戻すこと」を最優先に考えました。歯を失う不安は、とても大きなものです。だからこそ、見た目だけでなく、毎日の生活が楽になる治療を目指しました。「もう無理かもしれない」と感じている方にこそ、一度、相談していただきたいと考えています。

歯周病で歯がボロボロになってしまっても、噛める口を取り戻せる可能性はあります。
- ・しっかり噛みたい
- ・食事を楽しみたい
- ・将来を見据えた治療を受けたい
そんな想いがある方は、ぜひ一度ご相談ください。治療の可否や方法は、お口の状態によって異なります。まずは、無料相談にてお話を聞かせてください。




