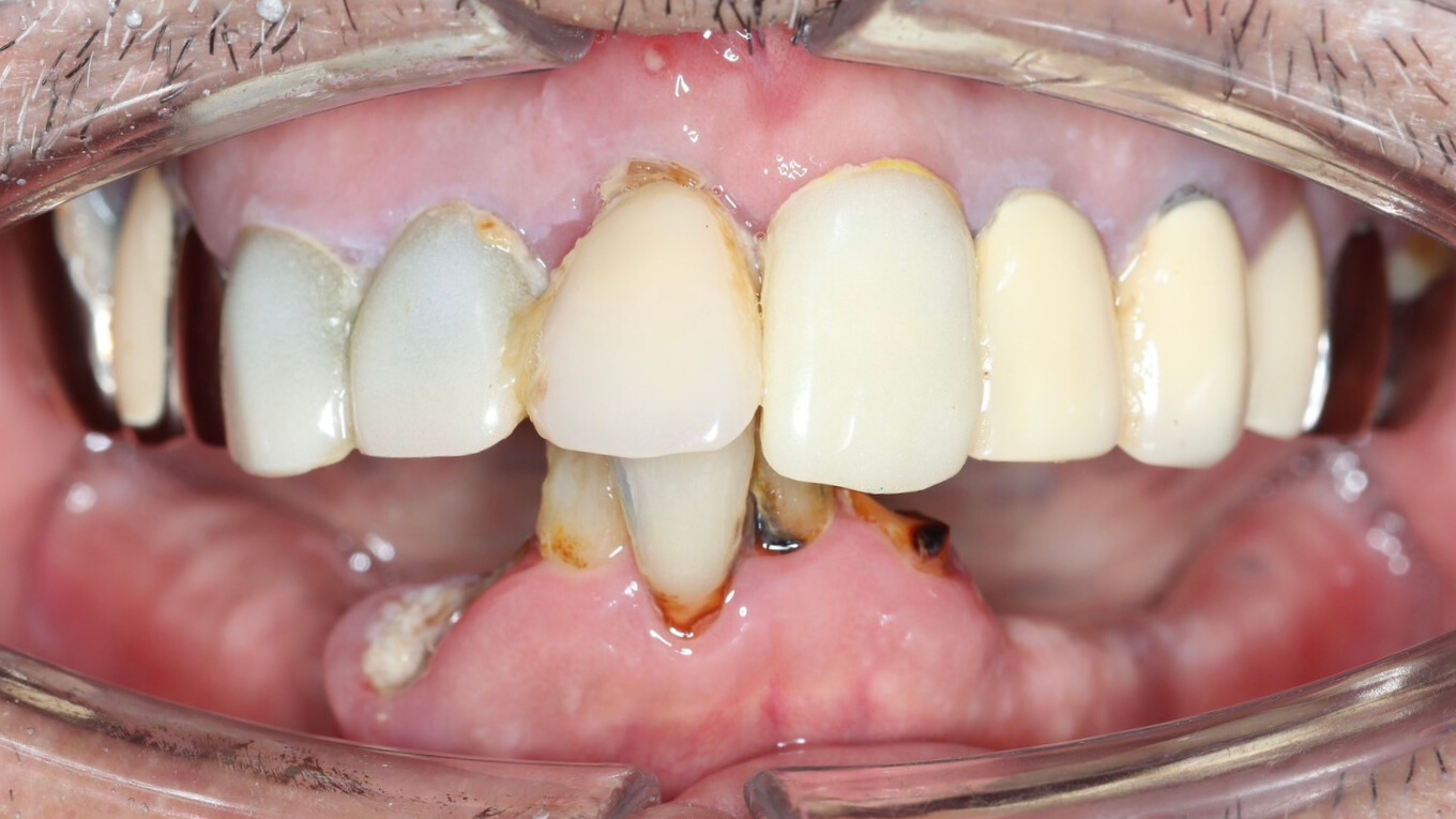
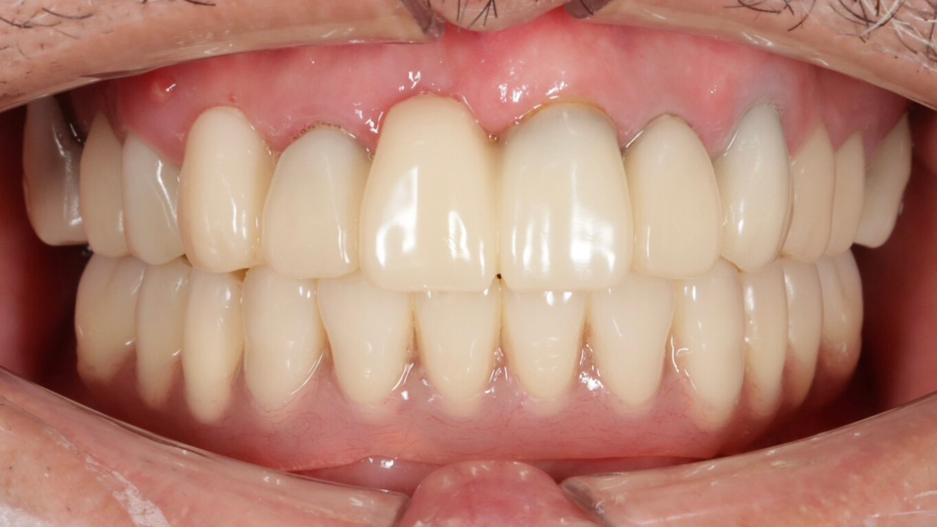
【症例】オールオン4
治療前
治療後
| 費用 | 275万円(税込) |
|---|---|
| 治療内容 | 入れ歯が嫌で、固定式の歯を希望された患者様です。 オールオン4治療を行い、下顎に4本のインプラントを埋入し、オペ当日に即日仮歯を入れました。 |

