【症例】オールオン X:全顎インプラント治療|岡山でインプラント治療なら「政久歯科醫院」

【症例】オールオン X:全顎インプラント治療

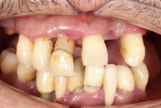
治療前 Before
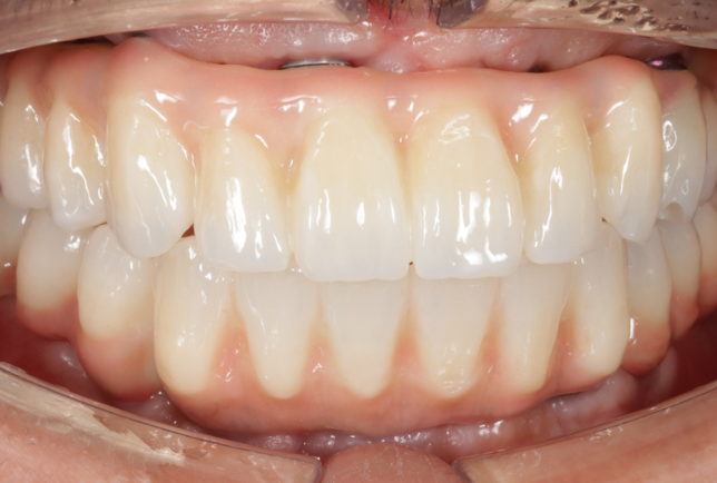
治療後 After
治療名称オールオン X:全顎インプラント治療
期間10 ヶ月
費用1000 万円
治療内容・すべての歯を抜歯せざるを得ない状態であったため、抜歯を行いインプラント治療を計画
・歯がない状態で過ごす期間がないように、インプラントを入れたその日に仮歯をいれる即日荷重を行っ

・X-guide(インプラントオペナビゲーションシステム)を使用して、正確な位置にインプラントを埋入
治療に伴うリスク・インプラントが骨と結合しない可能性があります
初めての方
― 初診WEB予約
既に受診されている方
― WEB予約