【症例】オールオン4|岡山でインプラント治療なら「政久歯科醫院」

【症例】オールオン4

治療前 Before
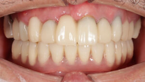
治療後 After
費用660万円(税込)
治療内容歯周病が進行し、前歯が揺れているため、全ての歯を抜歯して上下ともインプラントを希望された患者様です。
ノーベルバイオケア社のインプラントを用いてオールオン4治療を行いました。
初めての方
― 初診WEB予約
既に受診されている方
― WEB予約