【症例】オールオン4|岡山でインプラント治療なら「政久歯科醫院」

【症例】オールオン4

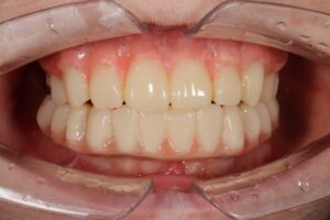
治療前 Before
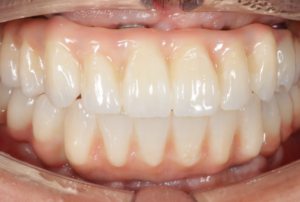
治療後 After
費用275万円(税込)
治療内容入れ歯が嫌で、固定式の歯を希望された患者様です。
オールオン4治療を行い、下顎に4本のインプラントを埋入し、オペ当日に即日仮歯を入れました。
初めての方
― 初診WEB予約
既に受診されている方
― WEB予約