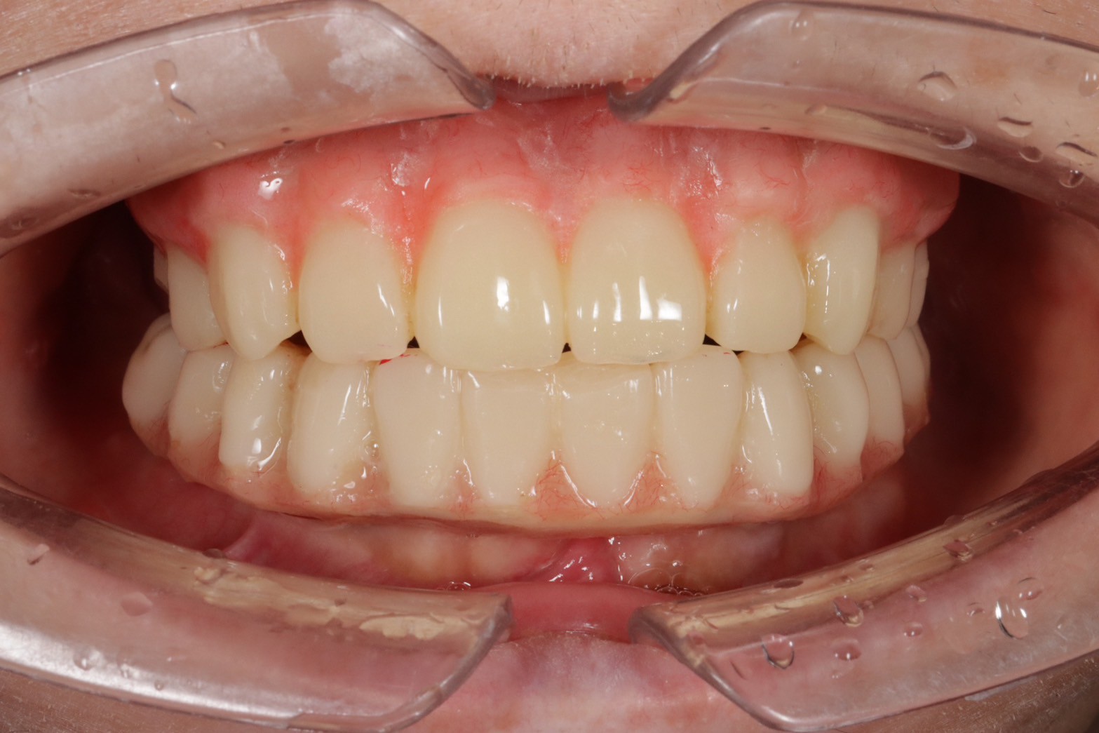
【症例】オールオン4
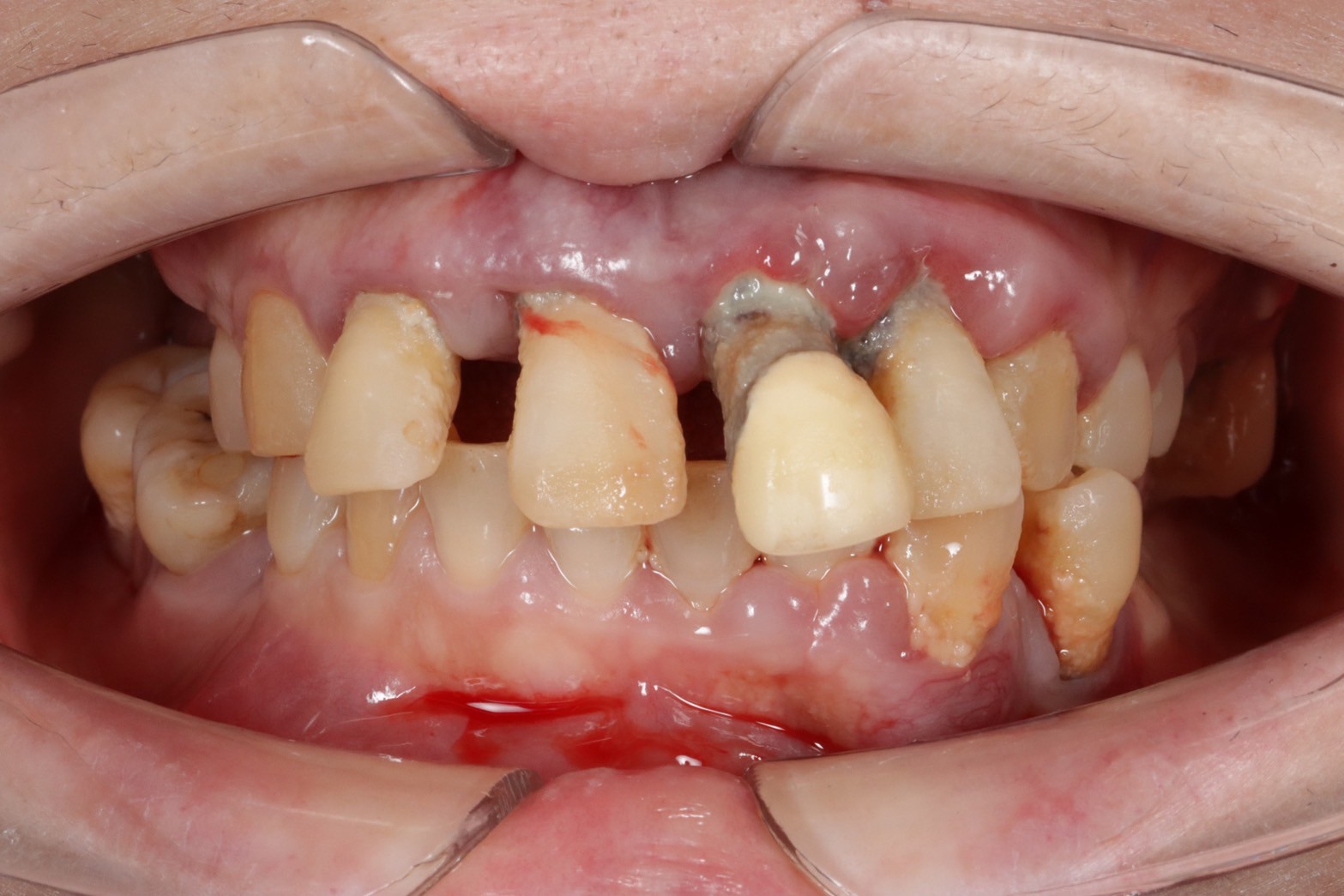
治療前
治療後
| 費用 | 660万円(税込) |
|---|---|
| 治療内容 | 歯周病が進行し、前歯が揺れているため、全ての歯を抜歯して上下ともインプラントを希望された患者様です。 ノーベルバイオケア社のインプラントを用いてオールオン4治療を行いました。 |

